
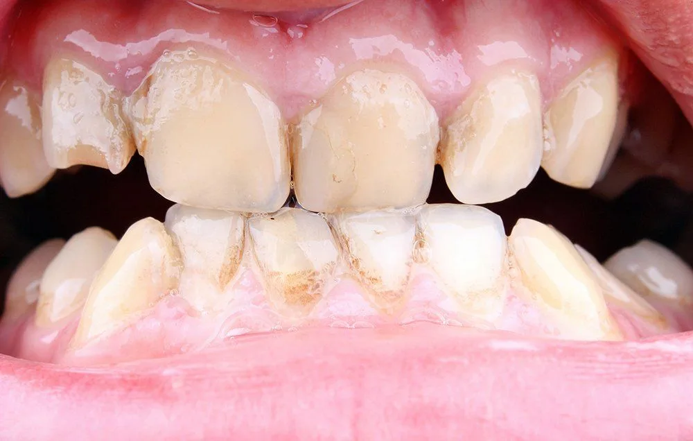
Introduction: Gum disease, medically known as periodontal disease, is a prevalent oral health condition that affects millions of people worldwide. It begins as an inflammation of the gums but can progress into a more serious condition if left untreated. In this article, we will explore the various treatment options available to combat gum disease and Periodontist & Gum Disease Clinic London.
**1. Professional Dental Cleaning: One of the initial steps in treating gum disease is a professional dental cleaning. This process involves the removal of plaque and tartar buildup on the teeth and along the gumline. Dental hygienists use specialized tools to clean areas that are difficult to reach through regular brushing and flossing.
2. Scaling and Root Planing: For more advanced cases of gum disease, scaling and root planing may be recommended. This non-surgical procedure involves removing plaque and tartar from the tooth surfaces and smoothing the root surfaces to promote gum reattachment. It helps to eliminate bacterial pockets and prevent further infection.
3. Antibiotic Treatments: In some cases, antibiotics may be prescribed to help control bacterial infection. They can be administered in various forms, such as mouth rinses, gels, or oral antibiotics, depending on the severity of the gum disease.
4. Laser Therapy: Laser technology has revolutionized Gum Disease treatment London. Laser therapy effectively targets and removes infected tissue while promoting gum reattachment. It is less invasive than traditional surgical methods and often results in quicker recovery times.
5. Surgical Intervention: In advanced cases where non-surgical treatments are not sufficient, surgical procedures may be required. These can include gum grafts to replace lost tissue, flap surgery to remove deep-seated plaque, and bone grafting to regenerate lost bone tissue.
6. Ongoing Maintenance and Oral Hygiene: Following any gum disease treatment, it is crucial to maintain good oral hygiene practices. This includes regular brushing, flossing, and routine dental check-ups to prevent a recurrence of gum disease.
Conclusion: Gum disease is a serious oral health issue that requires prompt attention and proper treatment. With a combination of professional dental care and diligent at-home oral hygiene, individuals can effectively manage and overcome gum disease. If you suspect you may have gum disease, consult with your dentist to determine the most appropriate treatment plan for your specific situation.




